
Anovulation
When the ovaries do not release an egg during a menstrual cycle.
Classification:
- Type 1 – (Hypo hypo) Secretion of hormones from the brain is less.
- Type 2 – (Normo) Commonest cause major contributor being PCOS.
- Type 3 – (Hyper) Indication of ovarian failure.
Diagnosis:
- Blood investigation Checking of hormones like FSH, and LH & Progesterone
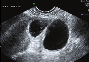
- Ultrasound – follicular monitoring
Treatment:
- Ovulation induction – use of medicines or injections to stimulate the ovaries to produce eggs
- Surgical management – Laparoscopic ovarian drilling in resistant PCO patients.
AZOOSPERMIA
- Absence of sperm in the semen.
Causes:
- Pre testicular – Imbalance in the hormones required for production of sperm
- Testicular – Defect in the testis due to congenital problem, disease or injury.
- Post testicular – Obstruction in the ducts transporting sperms produced in the testis.
Diagnosis:
- Semen Analysis
- Blood investigation – Testing of hormones like FSH, Prolactin, Serum testosterone
- Karyotyping to rule out chromosomal problems.
Ultrasound:
- Scrotal Ultrasound
- Trans rectal Ultrasound
- Testicular biopsy
Diagnosis:
- Medical Management:
- GnRH therapy, hCG, hMG in pre testicular cause
- Surgical management:
- Sperm extraction procedures like TESE, TESA, MESA, PESA in testicular causes
- Surgical Anastomotic procedures in obstructive causes
- Donor insemination