CRYOPRESERVATION

  • Is a technique to freeze and then thaw sperm, eggs or embryos for use in IVF cycles.
  • The cells or tissues are preserved using liquid nitrogen at -196 degree Celsius.
  • These temperatures effectively stop all biological activities of cells and tissues providing an indefinite longevity in cells.
CRYOPRESERVATION

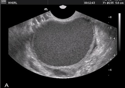
CHOCOLATE CYST

  • Ovarian cysts containing brownish thick old blood that appears like melted chocolate.
  • Found in patients with endometriosis
CRYOPRESERVATION

Symptoms:

  • Pain during periods
  • Chronic pelvic pain
  • Infertility
  • Pain during intercourse
CRYOPRESERVATION

Treatment:

  • Medical management – use of medicines or injections to provide pain relief.
  • Surgical Management – Laparoscopic removal of cysts.
  • ART – assisted reproductive techniques like IUI or IVF in patients with infertility
CRYOPRESERVATION CRYOPRESERVATION