
IUI - WHAT IS IUI?
- IUI or Intrauterine insemination is a simple procedure where the processed sperm sample is placed inside the uterine cavity.
INDICATIONS:
- Next level of treatment after ovulation induction.
- In couples requiring the use of donor sperm
- Physical problems with sexual intercourse
- Low normal semen counts with only mildly reduced parameters
- Unexplained infertility
- Mild endometriosis
IUI PROCEDURE
- Ovulation induction
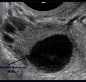
- Follicular Monitoring
- Ovulation Trigger
- Semen collection and processing
- Insemination
POST PROCEDURE INSTRUCTIONS
- You can continue working, exercising and doing all routine household activities.
- There is no need for any dietary restrictions.
- You are allowed to have sexual inter course
- Continue whatever medicines are prescribed and report with a beta HCG test 2 weeks later.
SUCCESS RATES
- The success rates of an IUI vary between 10-20% per cycle depending on the age of the couple, number of dominant follicles and use of gonadotrophin injection.
- It is important that you do not take a negative result as an indication that something is wrong with you.
- IUI is a simple procedure after which many things are left mainly to nature.
HOW MANY CYCLES?
Usually we advise trying 3-6 cycles of IUI as most conceptions would be expected to occur within this time frame.
WHAT IS IVF?
IVF or In vitro fertilization is a procedure where the eggs of the female partner are incubated with the sperm sample in a laboratory dish and fertilization is allowed to happen.
WHAT IS ICSI?
- Intracytoplasmic sperm injection (ICSI) – ICSI is an IVF procedure in which a single sperm cell is injected directly into the cytoplasm of an egg.
- Recommended most often in couples with male factor infertility where there are very low to nil sperm counts.
- Both procedures differ only in the method of fertilization, other steps remaining the same.
PROCEDURE
- The mature egg is held with a specialized pipette
- Very delicate, sharp and hollow needle is used to immobilize and pick up a single sperm.
- The needle is then carefully inserted through the shell into the cytoplasm of the egg.
- The sperm is injected into the cytoplasm and the needle is carefully removed.
- The eggs are checked the following day for evidence of fertilization.
WHAT DOES THE IVF/ICSI PROCEDURE INVOLVE?
COUNSELING
- Before you are enrolled in the IVF cycle, you will undergo a detailed counselling session about the procedure with one of our doctors where the steps, medications used; case specific success rates and costs are elaborated. Any queries or doubts the couple may have are also cleared.
TREATMENT CYCLE
- There are 6 steps involved in the process
- Ovarian stimulation and monitoring
- Ovum pick up
- Process of fertilization
- Development of the embryos in the incubator
- Embryo transfer
- Luteal phase support
SUCCESS RATES
- Success rates in an IVF cycle cannot be generalized as they are case specific and influenced by many factors such as:
- Age of the couple
- Number of eggs obtained
- Quality and number of embryos transferred
- Presence of endometriosis
- Quality of the sperm
- Fresh or frozen cycle
- Worldwide the success rates are given as 30 to 40 % per cycle.
- When trying for 2- 3 cycles with cryo preserved embryos, this would then give us a cumulative pregnancy rate of 70 to 80%