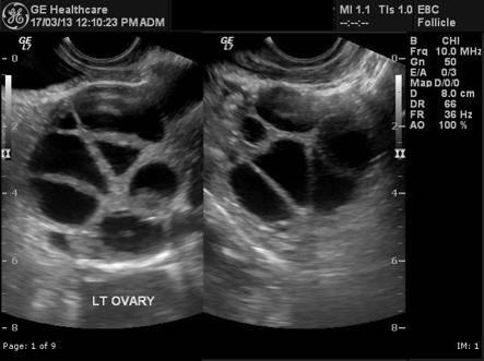
OHSS

  • Ovarian Hyperstimulation Syndrome is a medical condition that can occur in some women who are on fertility medication to stimulate egg growth. the ovaries become swollen, enlarged and painful.
ohss

SYMPTOMS

  • Can range from mild to moderate.
  • Mild to moderate
  • Mild to moderate abdominal pain
  • Increase in abdominal girth
  • Nausea
  • Vomiting
  • Diarrhoea
  • Sudden increase in weight
  • Severe OHSS
  • Severe abdominal pain
  • Severe nausea and vomiting
  • Shortness of breath
  • Distended abdomen
  • Blood clots in legs
  • Decreased urination
ohss

Risk factors :

  • PCOS
  • Development of large number of follicles
  • Younger age patients
  • Low body weight
  • Previous history of OHSS
ohss

Prevention :

  • Adjusting or changing the dose of medication.
  • Coasting – we stop injections for one or two days before giving ovulation trigger.
  • Avoiding use of HCG for trigger and the use of GnRh agonist as an alternative.
  • Freezing all embryos
ohss